Skip to Content
For The Whole Person
541-727-1442
Directions
 
Home
Derrick Johnson, DDS
Our Services
Services & Procedures
Implant Dentistry
Biomimetic Dentistry
Biological Oral Surgery
Laser Dentistry
Solving Complex Dental Problems
TMJ Solutions
Invisalign
IV Sedation
Esthetic Dentistry
Patient Info
View All Patient Information
First Visit
Natural Healing Modalities
Oral Health & Wellness
Digital Dentistry
Smiles Gallery
Faces Gallery
Social Media and Reviews
Contact
Contact Us
Refer A Friend
Social Media and Reviews
Blog
Our Blog
Our Recent Posts
Could I Be a Candidate for Invisalign?
Understanding Biological Dentistry: A Holistic Approach to Oral Health
How Laser Dentistry Treats Gum Disease Effectively
Are My Teeth Too Bad To Fix?
Home
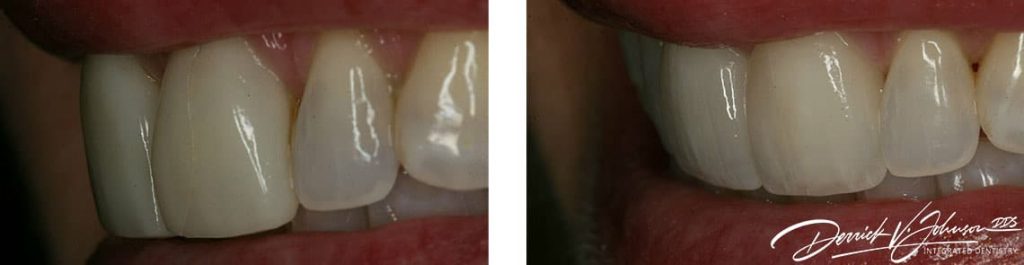
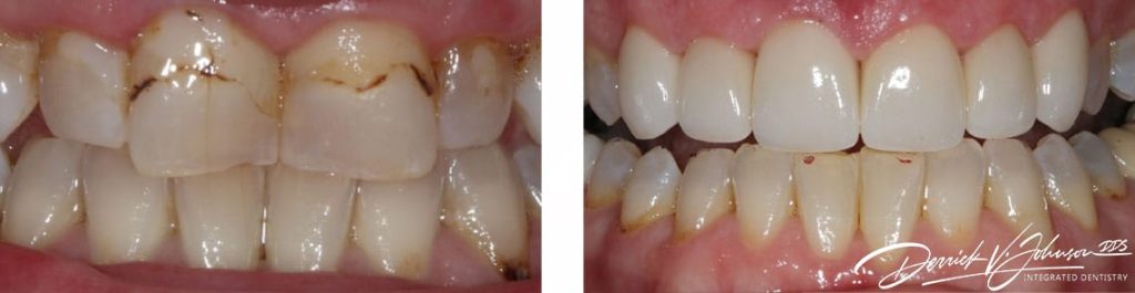
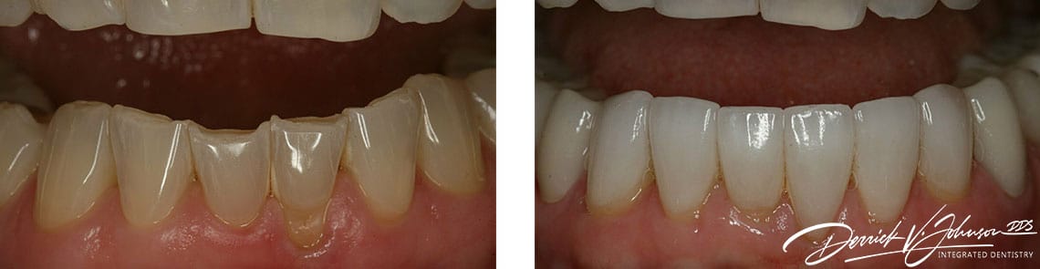
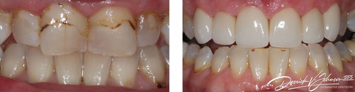
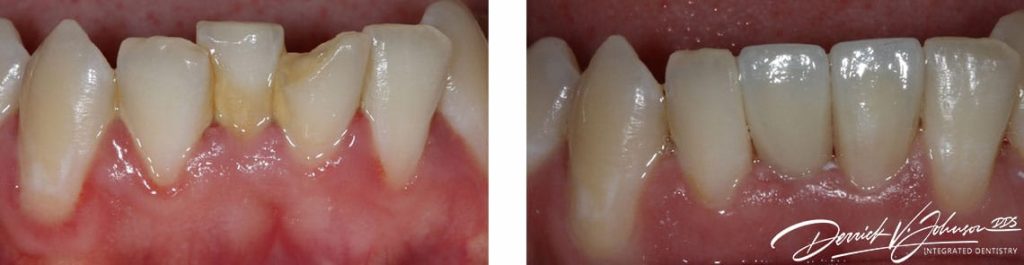
Before and After Gallery - Smiles
Back to Patient Info
HOME
location
BioSmile Health
547 E Pine St #202
Central Point,
OR
97502
541-727-1442
Directions
LINKS
Home
Derrick Johnson, DDS
Services
Patient Information
Social/Reviews
Contact Us
Refer a Friend
SOCIAL
Accessibility
Adjust
Reset
Website Accessibility
PRIVACY POLICY
HIPAA POLICY
ACCESSIBILITY
DESIGN AND CONTENT ©
2013-
2026
BY
DENTALFONE